RUS
UKR
Разделы
Разделы
Политика
Экономика
Происшествия
Общество
LifeStyle
Мир
Здоровье
Досье
Статьи
Мнение
Фото
Видео
Новости в мире - страница 66
Рекорд
Пещеры и гостиничные комнаты: в Польше открыли самый глубокий в мире бассейн - фото, видео
23 ноября 2020
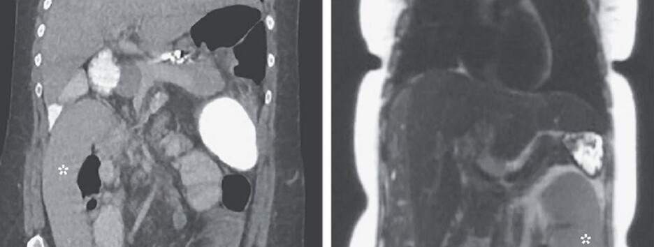
Патология
Блуждающий орган: медики рассказали о редком заболевании
23 ноября 2020
Пандемия COVID-19
Естественный иммунитет от коронавируса: ученые сделали неожиданное заявление о заразности COVID-19
23 ноября 2020
Франция
По обвинению в коррупции: в Париже впервые в истории пройдет суд над экс-президентом
23 ноября 2020
Выборы в США
Выборы в США: подробности об инаугурации и кандидатах на ключевые должности - фото
23 ноября 2020
Лечение
Лечение от коронавируса: в США назвали цену своей вакцины, в РФ заявили, что их «значительно дешевле»
23 ноября 2020
Пандемия COVID-19
«Мы не будем так же глупы в следующий раз»: Билл Гейтс сообщил о неизбежности новой пандемии
23 ноября 2020
Нефть
Впервые в истории: СМИ сообщили о смене лидера по переработке нефти
23 ноября 2020
Медицина
Наука против рака: ученые раскрыли новое свойство витамина D
22 ноября 2020
Пандемия COVID-19
Пандемия COVID-19: в Украине снизилась заболеваемость, Билл Гейтс озвучил прогноз по коронавирусу
22 ноября 2020
Медицина
Тревожный симптом и методы ранней диагностики: ученые сообщили, как вовремя обнаружить рак
21 ноября 2020
Пандемия коронавируса
Новости пандемии: в Украине новый антирекорд, ученые изучили заразность больных без симптомов - фото
21 ноября 2020
Здоровье
Как не стареть: ученые нашли способ «отмотать биологический возраст» назад
20 ноября 2020
В глубинах космоса
Назвали в честь героя мифов: астрономы обнаружили огромную мертвую галактику - фото
20 ноября 2020
Пандемия коронавируса
Ждать ли новых Гитлера и Рузвельта: как пандемия COVID-19 повлияет на человечество - видео
20 ноября 2020
Добрые новости
Совенок в коробке и затаившийся слон: СМИ рассказали забавные истории о спасении животных – фото, видео
20 ноября 2020
Каменные сливы
«Каменные плоды» эпохи до появления человека: необычная находка из Китая - фото
20 ноября 2020
Когда весь мир - больница
Вечный пациент: умер мужчина, который полвека провел в больничных стенах - видео
20 ноября 2020
Новая эпидемия?
Заразились в открытом океане: в Сенегале сотни рыбаков подхватили неизвестную болезнь - видео
20 ноября 2020
Пандемия коронавируса
Могут длиться до нескольких месяцев: врачи назвали четыре ранних симптома COVID-19
20 ноября 2020
Пандемия COVID-19
Пандемия COVID-19: в Украине тревожный антирекорд, ученые назвали новый симптом коронавируса
20 ноября 2020
Светская жизнь
Первые комментарии Принца Уильяма о скандале из-за интервью принцессы Дианы - видео
19 ноября 2020
Наука
Смертельная опасность: какую угрозу таит солнечный свет
19 ноября 2020
Пандемия COVID-19
«Локдаун не понадобится»: в ВОЗ рассказали, как избежать жестких ограничений во время пандемии
19 ноября 2020
Жираф
Спасти от браконьеров: как экологи защищают единственного в мире белого жирафа - фото, видео
19 ноября 2020
Уникальное захоронение
«Это сокровище»: в Египте нашли 100 саркофагов, пролежавших нетронутыми тысячи лет - фото, видео
19 ноября 2020
Метеорит
Мистический случай: гробовщик из Индонезии разбогател после падения метеорита в его дом - видео
19 ноября 2020
Ракеты
Защита от баллистической атаки: в США провели испытания уникальных ракет-перехватчиков - видео
19 ноября 2020
Космос
Разрешили кризис в космологии: физики нашли способ разгадать загадку Вселенной - видео
18 ноября 2020
«
1
...
63
64
65
66
67
68
69
...
964
»