RUS
UKR
Разделы
Разделы
Политика
Экономика
Происшествия
Общество
LifeStyle
Мир
Здоровье
Досье
Статьи
Мнение
Фото
Видео
Все статьи - страница 517
Будущее
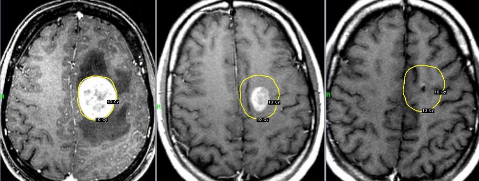
Ученые запрограммировали стволовые клетки уничтожать опухоль мозга
3 февраля 2017
LifeStyle
Власти Осло выдадут жителям по $1200 на покупку электровелосипеда
3 февраля 2017
Политика
Депутаты, судьи, прокуроры массово покупают дорогие авто по 149 тыс.
3 февраля 2017
Политика
Порошенко покупает газ у беглого "регионала" Злочевского - СМИ
3 февраля 2017
Мир
Правительство Великобритании опубликовало «план» Brexit
2 февраля 2017
Экономика
Экс-владельцы Приватбанка обещают рассчитаться по кредитам — Гонтарева
2 февраля 2017
Экономика
"Пленки" Рожковой являются обычным рабочим разговором — Гонтарева
2 февраля 2017
Мир
Министр в Румынии подал в отставку из-за антикоррупционных протестов
2 февраля 2017
Азия
«Один пояс — один путь»: как Китай завоевывает другие континенты
2 февраля 2017
Мир
Визит Путина в Венгрию – как это повлияет на продление санкций
2 февраля 2017
Будущее
Ученые разработали препарат, который позволяет клеткам пожирать ВИЧ
2 февраля 2017
Экономика
Шлапак: ситуация с Cargill - ошибка временной администрации
2 февраля 2017
Экономика
Шлапак: убыток после формирования резервов Приватбанка - 135 млрд грн
2 февраля 2017
Мир
WikiLeaks заинтересовалась французскими выборами
2 февраля 2017
Политика
ГПУ ответило нардепу по поводу выигранных в судах 15,5 млрд грн
2 февраля 2017
Мир
«Холодный старт» Индии – новые методы борьбы с Пакистаном
2 февраля 2017
LifeStyle
В небе - по-королевски: винтажные фотографии полетов 1946-1970 годов
2 февраля 2017
Информационная война
Борьба с фейками и роспропагандой: как это работает в Чехии
2 февраля 2017
Экономика
У банков с российским капиталом нет будущего в Украине — Гонтарева
2 февраля 2017
LifeStyle
Топ-11 самых безопасных стран для эмигрантов
2 февраля 2017
«
1
...
514
515
516
517
518
519
520
...
629
»